WELPENFUND IN UNGARN
Diese Mama wurde hilflos & allein mit ihren 7 kleinen, wenige Tage alten Welpen von einem Tierschützer in Ungarn aufgefunden. Der Mann kontaktierte unsere Spitzrettung und diese nahm sich der kleinen Familie an. Die Vermutung liegt nahe, dass die Mama hochtragend auf die Straße gesetzt wurde, weil man sich nicht um sie und ihre Welpen kümmern wollte. Die genauen Umstände wissen wir allerdings nicht! Die Mama wird auf ca. 2 Jahre geschätzt. Die Welpen & sie sind nun erstmal in Sicherheit. Der erste Test auf Parvo war bei allen negativ. Alle 8 werden jetzt von uns & der Spitzrettung Ungarn mit allem was nötig ist versorgt.
Wir werden euch versuchen regelmäßig Updates zu den kleinen zu geben. Über finanzielle Unterstützung & Sachspenden würden wir uns sehr freuen! Einige Dinge findet ihr auch auf unserer Amazon Wunschliste.
Amazon Wunschliste
Spendenkonto Ungarn
Spitz & Pawtners e.V.
Kreis-Sparkasse Northeim
IBAN: DE56 2625 0001 0172 2739 89

Paypal
spenden@spitz-und-pawtners.de
Vermerk „Welpen Ungarn“
UPDATE 20.09.2020
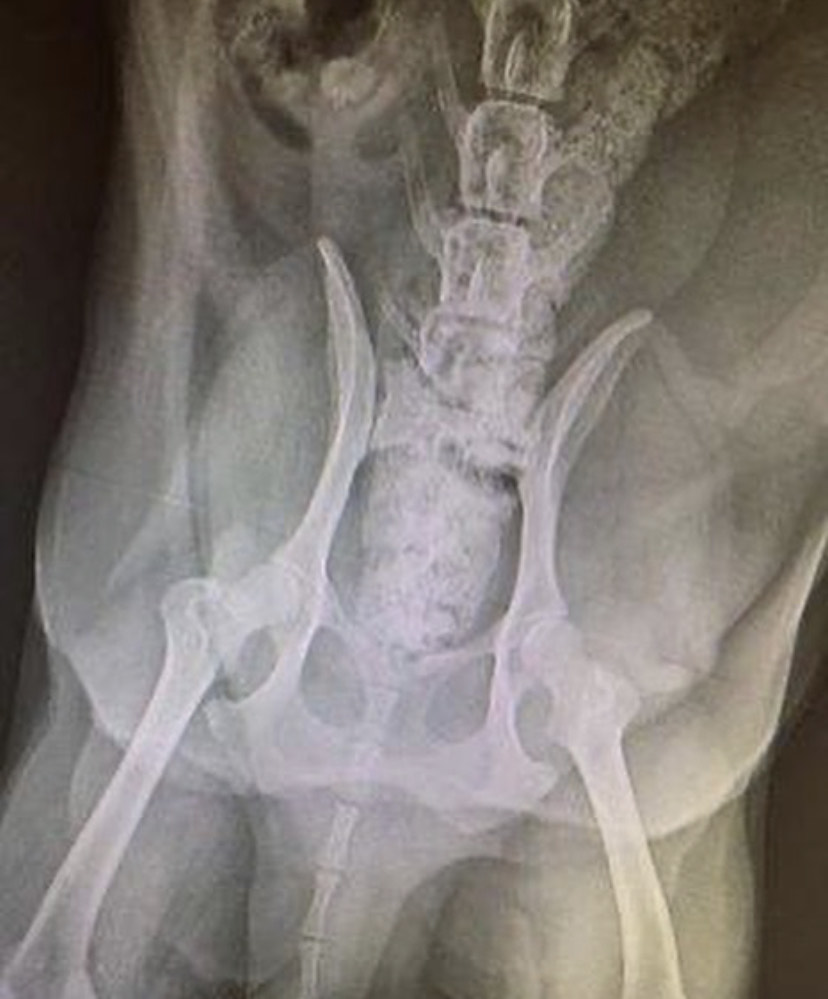
Die Welpen sind nun etwa 2 Wochen alt und öffnen langsam alle nach und nach die Augen! Die Mama wurde vermutlich angefahren und hat aller Warscheinlichkeit nach ein gebrochenes Becken – das muss noch behandelt werden. Wir werden sie und natürlich die Welpen regelmäßig medizinisch versorgen lassen.
Welpen öffnen ihre Augen (Video)
UPDATE 05.10.2020
Mama Lucy genießt die Streicheleinheiten und eine kleine Pause von ihren Babies. Das Team in Ungarn sagte uns, dass sie vermutlich ein gebrochenes Becken hat. Wir müssen noch abwarten, bis sie ihre Babies abgestillt hat bevor sie genauer untersucht werden kann.
Mama Lucy (Video)
Die Welpen & Mama stehen momentan NICHT zur Vermittlung. Jegliche Nachrichten diesbezüglich werden von uns nicht bearbeitet.
UPDATE 30.12.2020
Lange haben wir nichts mehr zu den süßen 7 erzählt. Mama Lucy hat inzwischen ein liebevolles Zuhause gefunden und ganz bald bekommen auch ihre Welpen diese Chance. Zuerst werden die 4 Jungs (Joey, Chandler, Mike & Ross) von Pflegestellen in Deutschland aus ihre neuen Familien suchen. Wo genau diese Pflegestellen sein werden werden wir am Ausreisetag der Vier Ende Januar/Anfang Februar bekanntgeben. Wir bitten von vorherigen Bewerbungen abzusehen!
Im Sommer folgen dann ihre drei Schwestern (Rachel, Phoebe & Monika).